ぶどう膜炎外来 Intraocular Inflammation
【責任医師】南場 研一
【担当医師】長谷 敬太郎、鈴木 佳代、荻野 陽、岩田 大樹、水内 一臣、平岡 美紀
【初診・再診】月曜日・火曜日

2024年度は、常勤の南場、長谷、荻野、鈴木、および非常勤として岩田、平岡、水内、成田(敬称略)という布陣で診療に取り組んでいます。大野 重昭名誉教授、北市 伸義先生(北海道医療大学病院長)からも、日頃より重要なご助言をいただいております。岩見沢竹内眼科の岩田 大樹先生には、引き続き客員臨床准教授としてぶどう膜炎外来にご参加いただいています。また、4月から北辰病院より成田 真央先生が客員として加わり、新たな貴重な戦力となっています。
ぶどう膜炎の一つに梅毒性ぶどう膜炎がありますが、全国的に梅毒が復興感染症として再び増えてきている影響で、当院でも症例数が増えてきております。梅毒性ぶどう膜炎は「Great imitator(模倣の達人)」と呼ばれるように、多彩な眼所見を呈するため、ぶどう膜炎の新患を診察する際には常に鑑別診断に挙げる必要があります。
当外来は、新患、再患ともに月曜午前、火曜午前で診察をおこなっております。お困りのぶどう膜炎症例がございましたら、ご紹介いただけますと幸いです。伝統ある当ぶどう膜炎グループへの変わらぬご支援を、よろしくお願い致します。
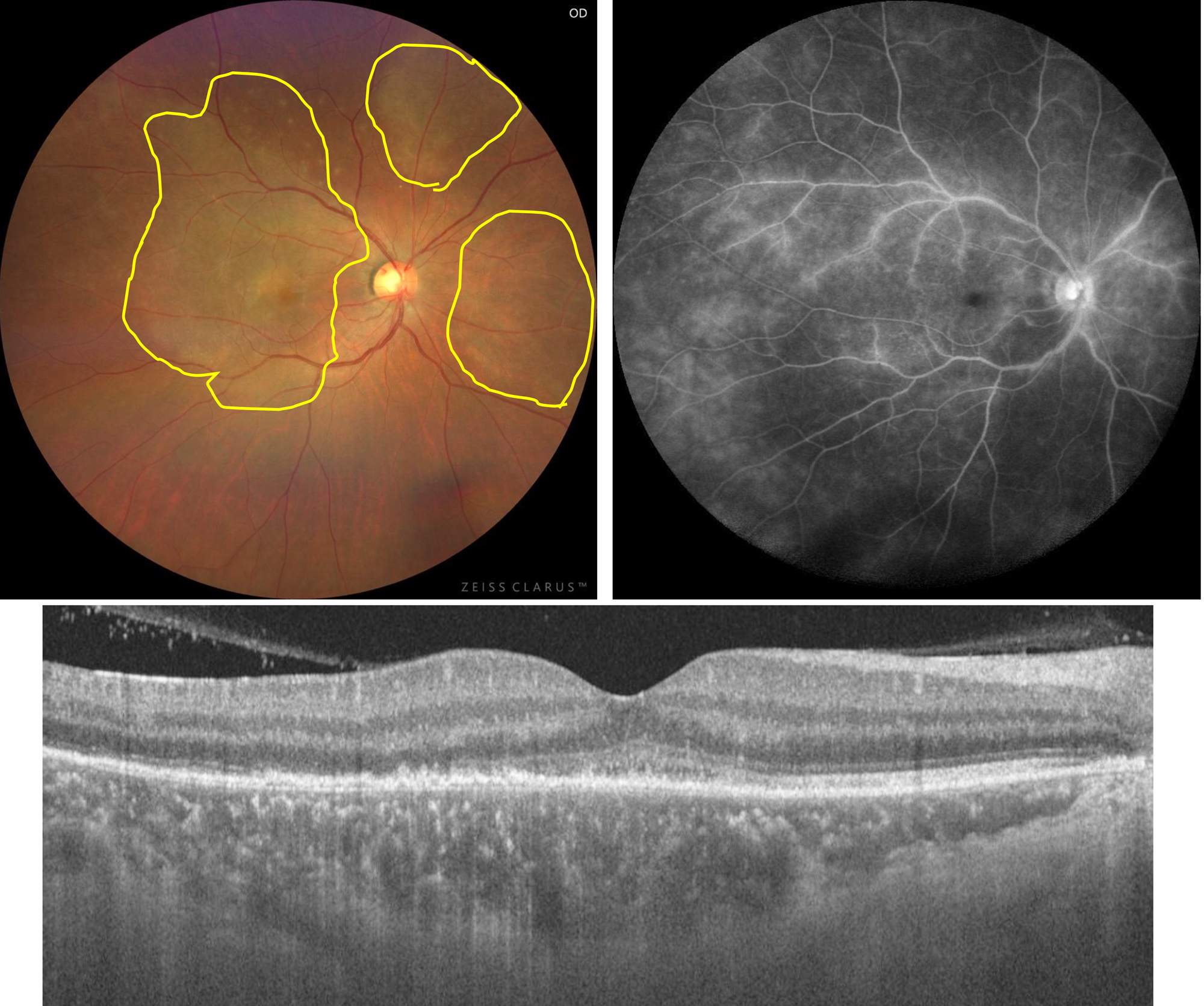
梅毒性ぶどう膜炎の1例。右眼眼底(左上図)に網膜の白濁病変がみられ(黄色実線)、急性梅毒性後部円板状脈絡網膜炎と考えられる。
フルオレセイン蛍光眼底造影検査(右上図)では網膜血管からの蛍光漏出、
光干渉断層計(下図)では網膜外層の不鮮明化がみられる。




