眼形成手術外来 Oculoplastic Surgery
【責任医師】水門 由佳
【担当医師】渡邉 竜也、吉川 一平、石嶋 漢


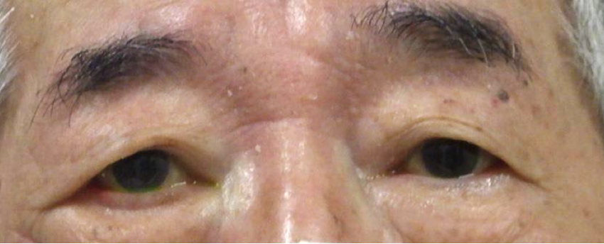
上下睫毛内反症 術前

右眼瞼外反症 術前
眼形成外来は木曜午前に外来、午後手術で診療しており、水門 由佳、渡邉 竜也、石嶋 漢が担当しております。角膜疾患に精通した渡邉先生は、眼表面の変化もしっかり捉えて丁寧に診療を行い、着々と手術の腕を上げています。水門は、2024年4月に育休から復帰し、臨床・大学院・子育てのバランスを取りながら頑張っています。石嶋先生は大変お忙しい中、隔週で手術指導に来てくださっています。対応疾患は眼瞼下垂、内反症、睫毛乱生、外反症、結膜弛緩、流涙症、義眼床形成、外眼部腫瘍などです。日帰り手術だけでなく、入院手術や全身麻酔での手術も行なっております。北大病院は全身麻酔の枠が限られているため、急ぎの患者さんは、KKR医療センターで手術を行なっています。
眼瞼下垂は頻度の高い退行性だけでなく、神経麻痺後下垂や、先天性なども診療しております。眼瞼下垂を訴える症例の中には、皮膚弛緩や眉毛下垂、腫瘍などの偽眼瞼下垂もみられます。瞳孔異常や眼球運動制限などを確認し、必要に応じてMRIなどの画像診断や採血等を行い、正しく診断をし、適切で安全な治療を提案するように努めています。
睫毛乱生に対する睫毛根焼灼には、以前からエルマン社の直径100μmのモノポーラ電極を使用してきましたが、販売終了となったため、2024年から田川電気研究所の電気分解器(TE-500)の直径80μmの電極針も使用しています。これによって、より侵襲が小さい治療が可能となりました。
腫瘍では、病理検査を行った症例の1%は悪性です。例えば、霰粒腫と思われる中にも脂腺癌が混ざっていることが知られています。ご紹介いただいた患者様は多くの場合当日の切除を行い病理検査に提出します。
外眼部疾患であれば対応可能と存じますのでお困りの症例などご相談頂けますと幸いです。
今後とも眼形成手術外来を宜しくお願い致します。

上下内反症手術(重瞼線形成、Hotz変法、lid margin splitting)術後 5か月

Lateral tarsal strip術後1年



